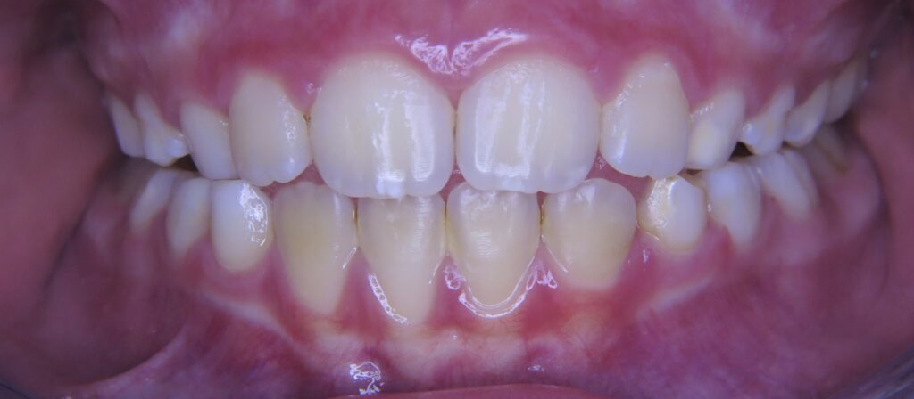
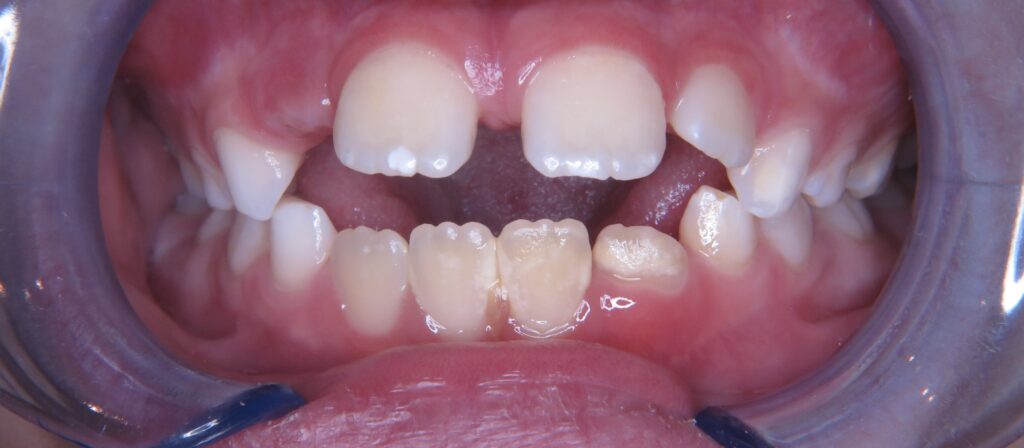
Open beet casus 1

Meer weten over Myobrace?

Lees alles over een recht en gezond gebit zonder slotjes.