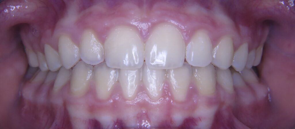
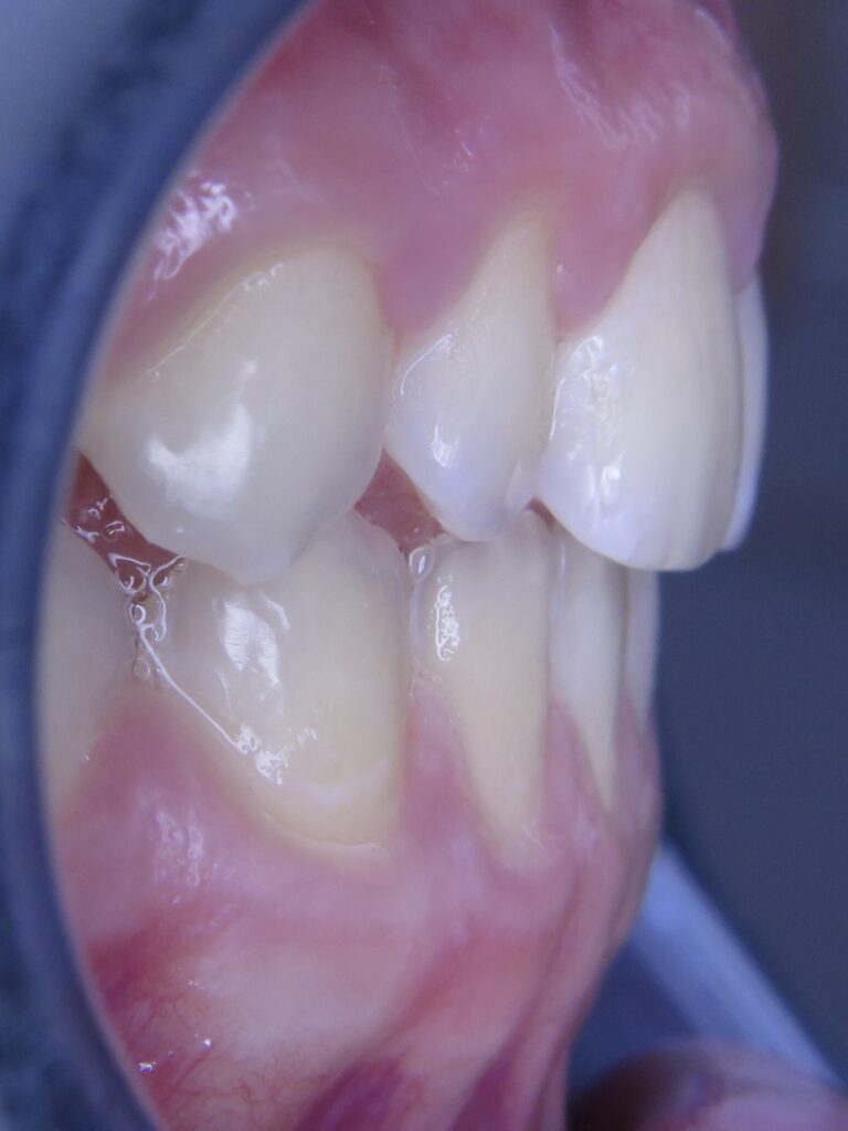
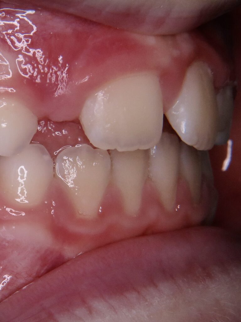
Kruisbeet casus 2

Meer weten over Myobrace?

Lees alles over een recht en gezond gebit zonder slotjes.